Семейная стоматология в Сколково и Трёхгорке

Надёжное лечение зубов с долгосрочным результатом
С комфортом и БЕЗ БОЛИ
Более 200 отзывов 5 звезд на всех площадках
Современное оборудование
и обезболивание
Без доплат и переплат
План лечения с фиксированной стоимостью
Спасаем зубы, за которые другие клиники не берутся

Запишитесь на первичную консультацию

и получите 2-3 плана качественного лечения под ваш бюджет
Нажимая на кнопку, вы даете согласие на обработку своих персональных данных и соглашаетесь с Политикой конфиденциальности

Только за последний год мы спасли и защитили родные зубы 1600 пациентам

Здравствуйте! Меня зовут
Акопов Давид Юрьевич, я главный врач  в стоматологии EcoDent
За 15 лет моей практики самая распространённая проблема — позднее обращение пациента.
Каждый зуб — отдельный орган, который несёт свою функцию. Потеря даже одного зуба приводит к деформации соседних, нарушению прикуса. Нагрузка на оставшиеся зубы возрастает, что сокращает срок их жизни.
Я рекомендую обращаться как можно раньше к специалисту и не дожидаться боли. А ещё лучше планово ходить на осмотры.
Акопов Давид Юрьевич
Главный врач, Хирург-имплантолог, ортопед

Получите 3 варианта лечения ваших зубов с аргументацией и стоимостью лечения

План будет изложен простым языком, понятным даже далекому от медицины пациенту
Врач произведёт осмотр состояния полости рта и обследует с применением прицельного визиографического снимка
При необходимости назначит консультацию у ортодонта
Определит продолжительность и предложит 2-3 варианта лечения, по комфортной для вас стоимости
(исходя из прайс-листа центра)
Получите подарок от клиники
Запишитесь на первичную консультацию
Укажите номер телефона, наш администратор перезвонит и запишет вас на осмотр стоматолога
Нажимая на кнопку, вы даете согласие на обработку своих персональных данных и соглашаетесь с Политикой конфиденциальности
Если цена вас не устроит, мы предложим альтернативу лечения под ваш бюджет
Мы работаем каждый день без выходных с 8:00 до 23:00

Постоянные клиенты доверяют нашему профессионализму на протяжении более 15 лет

Сохраняем зуб даже при малейшей возможности
При возможности и восстанавливаем форму и функциональность зуба,
без использования имплантов
Перед лечением зуба, выясняем первопричину болезни
На состояние зубов порой влияют хронические заболевания (такие как, сахарный диабет, гипертония, остеопороз, артрит и тд)
Восстанавливаем жевательную
функцию зубов
При возможности и восстанавливаем форму и функциональность зуба,
без использования имплантов
Без боли
Индивидуально подбираем объём обезболивающего, чтобы снизить неприятные ощущения к минимуму.
Работа в 4 руки увеличивает качество и скорость лечения
Ассистент в тандеме со стоматологом обеспечивает комфорт и чистоту всего процесса!
Весь спектр услуг и специалистов в одном месте
В клинике работают специалисты: (терапевт, пародонтолог, ортодонт, хирург-имплантолог, ортопед)

Лечение, восстановление и протезирование зубов в одном месте

Профилактика
Отбеливание зубов
Лечение кариеса
Лечение пульпита
Лечение периодонтита
Подробнее
Восстановление зуба коронкой, вкладкой или виниром
Протезирование зуба имплантатами
Съёмное и несъёмное
протезирование
Удаление зуба
Пластика уздечки губ и языка
Вестибулопластика
Имплантация
Диагностика
Установка и снятие брекет системы
Выравнивания зубов Элайнерами

Специалисты любят
свою профессию и делают свою работу на отлично

Лечение кариеса композитным материалом
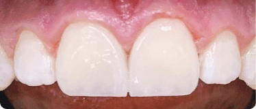
Реставрация центрального резца,
композитным материалом
Реставрация 27 зуба
после
после
после
до
до
до
Подробнее
Подробнее
Подробнее
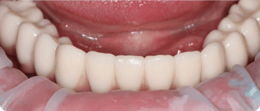
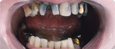
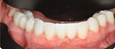
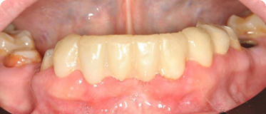
Восстановление зубного ряда
после
до
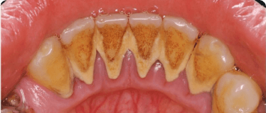
Профессиональная гигиена полости рта
Восстановление зубных рядов циркониевыми коронками
после
после
до
до
Посмотреть ещё работы

Вы получите лечение высокого качества на самом современном оборудовании

Всю диагностику, лечение и восстановление зубов проводим только на передовом оборудовании
Безопасное отбеливание эмали на 8-10 тонов
c технологией Philips Zoom 4®
Результат виден сразу после первого сеанса
45-ти кратное увеличение структуры зуба
под микроскопом
Обрабатываем только кариозные ткани зуба, сохраняя максимальное количество здоровых тканей
Диагностика
на прицельном Визиографе
указывает даже на скрытые проблемы.
помогает специалисту обнаружить патологии и воспаления для предотвращения
неожиданной зубной боли
Используем материалы последнего поколения известных производителей
Estelite Sigma Quick Tokuyama Dental (Япония)
Herculite Ultra Kerr (США)
Tetric EvoCeram Ivoclar Vivadent (Лихтенштейн)
Harmonize Kerr (США)
Filtek Supreme Universal Restorative 3M (США)
Brilliant EverGlow Coltene (Швейцария)
Даже спустя 10 лет знаем какое лечение проводилось у пациента ранее
Автоматизированная клиентская база пациентов
Ведётся календарь приёма с напоминаниями.
Создаются электронные карточки по каждому пациенту.
Протоколы лечения со снимками в программе iStom.
По вашей просьбе даже спустя продолжительное время мы предоставляем всю историю по вашему лечению.
указывает даже на скрытые проблемы и помогает специалисту обнаружить патологии и воспаления для предотвращения
неожиданной зубной боли

За последний год 1600+ довольных пациентов
из них 70% наши постоянные клиенты

Честные отзывы наших пациентов
с популярных интернет порталов

Прочитайте, что говорят пациенты, чьи зубы cтали здоровее благодаря специалистам EcoDent

52 отзыва
69 отзывов
69 отзывов
69 отзывов
Подробнее

За последний год 1600+ довольных пациентов из них 70% наши постоянные клиенты

Честные отзывы наших пациентов с популярных интернет порталов

Прочитайте, что говорят пациенты, чьи зубы cтали здоровее благодаря специалистам EcoDent

52 отзыва
69 отзывов
69 отзывов
69 отзывов
Подробнее

Работает команда высококлассных специалистов с опытом работы от 10 лет

Специалисты поставят точный диагноз: терапевтический, хирургический, ортопедический
Следим за всеми новинками и тенденциями в области стоматологии, посещаем тренинги и семинары в России и за рубежом

Наша деятельность лицензирована и официально зарегистрирована

Все наши клиенты могут компенсировать 13% от стоимости лечения
ООО «ДЛМ»
ИНН 5032308573
КПП 503201001
Юридический адрес: Московская область,
г. Одинцово, ул. Сколковская, дом 3а, помещение 12
Лицензия №ЛО-50-01-012145

Почувствуйте себя как дома в уютной и чистой атмосфере

Запись на удобный для вас день. Напоминание
о времени приёма за 1 день и за 1 час по телефону.
Приём по времени (без ожидания)
Комфортабельная зона ожидания
На входе аппарат для надевания бахил и электронная мусорка
Вас всегда встретит заботливый администратор, угостит вкусным кофе или горячим чаем
Бесплатный вай-фай
Телевизоры на стене, чтобы отвлечься от процедуры лечения
Записаться на первичную консультацию-диагностику
Администратор свяжется с вами, чтобы узнать удобную дату и время для записи на процедуру
Нажимая на кнопку, вы даете согласие на обработку
своих персональных данных и соглашаетесь
с Политикой конфиденциальности

Запишитесь на первичную
консультацию-диагностику ваших зубов

Врач произведёт осмотр состояния полости рта и обследует с применением прицельного визиографического снимка
Определит продолжительность и предложит 2-3 варианта лечения, по комфортной для вас стоимости
(исходя из прайс-листа центра)
При необходимости назначит консультацию у ортодонта
Составит фотопротокол
и пояснение ситуации по каждому зубу
Ответит на все вопросы,
связанные со здоровьем ваших зубов
Напомнит за 1 день и за 1 час до приёма, чтобы вы не ждали

В нашем центре лечат зубы семьями из Сколково и Трёхгорки, Кубинки (МО) и даже из Москвы

Располагаемся в 3 минутах ходьбы от остановки «Микрорайон Кутузовский»
Администратор
График работы
ПН-ВС 8:00-23:00
E-mail
Адрес
г. Одинцово, ул. Сколковская, 3А
Посмотреть схему проезда
Подробнее
Или задайте вопрос напрямую в
Среднее время ожидания 4 минуты